Caso Clinico: Rehabilitación de la pérdida de una pieza dental estetica
- macdentalcusco
- hace 2 días
- 1 Min. de lectura
Rehabilitación de la pérdida de una pieza dental
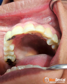
Paciente de 38 años de edad acude a consulta con el objetivo de rehabilitar un incisivo lateral perdido hace más de 8 años. Durante este tiempo, utilizó una prótesis parcial removible de acrílico con ganchos tipo Wipla, la cual se apoyaba en los dientes adyacentes.
Tras realizar una evaluación clínica y tomográfica, se instaló un implante dental con protocolo de carga inmediata. Este procedimiento permitió la rehabilitación del diente perdido el mismo día de la intervención.
De esta manera, se logró no solo restaurar la función y estética dental, sino también mejorar significativamente la confianza y calidad de vida del paciente.
La implantología moderna hace posible lo que antes tomaba meses en recuperar un diente.





















Comentarios